
シリーズ 治療効果をプラスする「最新のがん治療」
~さまざまながん種に対する免疫細胞療法の効果~
第14回 胃がん
加藤洋一
新横浜かとうクリニック院長
私が院長を務める新横浜かとうクリニックでは、通院抗がん剤治療や免疫細胞療法、温熱治療、がん遺伝子検査などを駆使し、がん患者さんへの治療を行っている。その治療のコンセプトは「治療効果をプラスする治療法がある」。つまり、標準治療に他の治療をプラスし、少なくとも生存率を70~80%まで引き上げることを目指しているのだ。その切り札の1つである免疫細胞療法として、樹状細胞がんワクチン(樹状細胞ワクチン療法)、活性化リンパ球療法、WT–1 CTL療法などを実践している。
本連載では、これらの免疫細胞療法がそれぞれのがん種にどのような効果をもたらしたのか、というがん種別の症例を治療方針と共にご紹介していく。第14回は、日本にあって罹患者の多いがん種の1つである胃がんを取り上げた。
胃がんの標準的な治療法
当クリニックが開業してから6年以上が過ぎた。この間、400人以上(大部分がステージⅣか再発・転移のがんを抱えていた)の患者さんに免疫細胞療法を行ってきた。がん種別で見ると多い順に、大腸がん、膵がん、胃がん、肺がん、乳がん、卵巣がん、食道がん、子宮がん、頭頸部がん、前立腺がん、肝がん……と続く。したがって、今回、取り上げる胃がんは、当クリニックにおいては、比較的、患者さんが多いがん種と言える。
本稿で取り上げた胃がんは、他のがん種に比べれば転移しにくいがんだとされている。しかし、病状が進行していくと、がん細胞は小さな塊の状態からゆっくりと増殖・分裂していく。さらに進行を続けると広がるスピードを速め、他の臓器に転移していく。
胃がんの転移で最も多いのはリンパ節である。そのリンパ節転移は手術でリンパ節を摘出することで、ある程度治すことが可能だ。だが、広範囲にわたるリンパ節転移が認められた場合は手術の適応がなく、抗がん剤を使用することになる。
また、胃の後ろに走っている大動脈から枝分かれした先の肝臓や膵臓などへの転移もしやすいとされている。その他、肺や卵巣、副腎、骨などが高い転移率を示している。
また、胃がん全般の5年生存率は、全体で約70%と言われている。病期別の5年生存率は、Ⅰ期が約90%、Ⅱ期が約80%、Ⅲ期が約50%、Ⅳ期が約10%とされ、当然、早期で発見されれば生存率が高くなる。
そんな胃がんに対する標準的な治療法は、手術が中心になる。その切除範囲はがんがある部位と病期によって決定されるが、場合によっては、手術と同時に胃の周囲のリンパ節を取り除くリンパ節郭清をしたり、食道の通り道をつくり直す消化管再建を行ったりする。
胃がんの手術方法は、胃の切除範囲とリンパ節郭清の範囲によって、定型手術・縮小手術・拡大手術の3つの方法に大別される。
定型手術は標準的な術式で、胃がんを完全に切除することを目的とし、胃の3分の2以上と少し離れたリンパ節を切除する。つまり、リンパ節転移のある早期がん・進行がんが対象になる術式である。
縮小手術は定型手術より胃の切除範囲やリンパ節郭清の範囲が狭い方法である。リンパ節転移のない早期胃がんが対象になる。
拡大手術は、進行胃がんに対し、定型手術に加えて胃の周辺の臓器(脾臓・膵臓・肝臓・大腸など)を一緒に切除したり、リンパ節郭清を拡大したりする術式である。
さらに、胃がんの手術の種類は、切除範囲によって、いくつかの方法に分けられる。その代表的なものは、胃全摘術・幽門側胃切除術・幽門保存胃切除術・噴門側胃切除術である。
また、胃がんには、腹腔鏡下胃切除や内視鏡治療といった治療法もある。
腹腔鏡手術は、腹部に数カ所の小さな孔を開け、専用のカメラや器具で手術を行う。通常の開腹手術に比べて侵襲性が低いので、希望する患者さんが増え、手術件数は徐々に増加している。
内視鏡治療は、内視鏡(胃カメラ)を用いて、胃の内側からがんを切除する。切除後も胃が温存されるため、食生活に対する影響がほとんどなく、QOL(生活の質)を維持しながら治療を続けられるのが最大のメリットである。ちなみに、その切除の方法には、EMR(内視鏡的粘膜切除術)やESD(内視鏡的粘膜下層剥離術)がある。
胃がんに対する抗がん剤治療には、他の臓器に転移しているために手術や内視鏡治療で治すことが難しい場合、あるいは手術後に残っている可能性がある微小ながん細胞による再発を予防する場合などに用いる。
胃を切除できない場合や再発したときの初回治療は、TS–1とシスプラチンの組み合わせが勧められている。この治療の適応が難しい場合には、TS–1単独、あるいは5–FU単独などの選択肢がある。こうした初回の抗がん剤治療で効果が得られないときは、 次の選択肢としてパクリタキセルやドセタキセル、イリノテカンなどが用いられる。
新たながんワクチンが登場
当クリニックで行っている樹状細胞がんワクチンは、がん細胞の抗原情報をがんペプチド(がんの特異的抗原)として認識する樹状細胞を用いた治療法である。
がんペプチドワクチンは2000年代になり、がん遺伝子から開発された。ペプチドとは「小さなたんぱく質」の意味で、数個から数十個のアミノ酸で構成されている。がんペプチドワクチンを用いた治療法が確立され、従来の非特異的免疫細胞治療から、がん免疫のみを上げる特異的免疫療法が普及してきた。
そのがんペプチド(がんの特異的抗原)を認識する樹状細胞を用いた樹状細胞がんワクチンには、WT–1、MUC1、HER2、AFPペプチドワクチン(αフェトプロテイン由来のペプチドワクチン)の4つがある。それらの使用法の用途はがん細胞の形態によって異なり、たとえば、腺がんには4つのうちのどれかを、扁平上皮がん・小細胞がん・大細胞がんにはWT–1のみを使用している。
そのWT–1は、従来から「WT1-class 」というタイプのペプチドワクチンを用いていたが、2014年10月より「WT1-class 」というペプチドワクチンも使用できるようになった。
がん治療がうまくいかない理由として、進行がんや末期がんの患者さんの中で、免疫抑制性Tリンパ球(通称:T–reg)ががん免疫の邪魔をしていることがわかっている。そのT–regがいると、CD8–CTL(CD8陽性CTL前駆細胞)ががんを攻撃できない。そこに今回、T–regを抑制するCD4–CTL(CD4陽性T細胞)を誘導する「WT1-class 」という、待望のペプチドワクチンが登場した。「WT1-class 」と「WT1-class 」という2つのペプチドワクチンを併用することで、CD8–CTLは、T–regに邪魔されることなく、がんを攻撃できるようになる。
また、当クリニックでは、同じく2014年10月より、「グリピカンスリー(GPC3)」というがんペプチドワクチンを使った樹状細胞がんワクチンの提供をスタートさせた。このグリピカンスリーにAFP、あるいはWT1を併せた治療を実施している。
もちろん、直に奏効する期待が持てるがん種に対してグリピカンスリーを用いている。しかし、それ以外のがん種に対しても、樹状細胞がんワクチンの威力を長持ちさせるために使用するケースが多々ある。
いずれにしても、こうした樹状細胞がんワクチンの治療では、そのコース中に、患者さんの免疫反応がしっかりとアップしているのかを調べる。そして、1コース(計5回)が終了して2カ月以内に、さらにその3カ月後にCT検査を行い、治療効果の評価を行う。ちなみに、治療終了時点でそれほど効果が認められなくても、治療終了から3カ月後に著明な効果が認められるケースも多々ある。
樹状細胞がんワクチンは、患者さん自身が持っている免疫力をアップさせる。その点で、活性化リンパ球療法との相性は抜群である。活性化リンパ球療法は、患者さんから採取したリンパ球を増強し、約1000倍に増やし体内に戻し、主として患者さんのがん免疫力を上げることでがんを壊す治療法である。
樹状細胞がんワクチンの効果を高めるポイントは、その培養のために患者さんの体内から血液を採取する時期にある。抗がん剤は白血球を減少・損傷させるので、抗がん剤治療を受けている患者さんであれば、樹状細胞培養のための採血は次回の抗がん剤投与の直前、つまり白血球が最も多くて状態のいいときに行うのがベストなのだ。
樹状細胞がんワクチン・活性化リンパ球療法と共に、当クリニックの免疫細胞療法の柱となっているWT1 CTL療法は、WT1抗原(小さなタンパク質のペプチドで、多くのがん細胞が持っている抗原)を認識した活性化リンパ球(WT1特異的Tリンパ球)を用いた治療法である。がんを認識したリンパ球は、通常の活性化リンパ球に比べてがんに結合しやすいので、より高い効果が期待できる。ただし、その患者さんのがんがWT1抗原を持っているのか否か、HLA(ヒト白血球抗原)ががんワクチンに結合する型か否かの検査が事前に必要となる。
さらに、当クリニックでは、WT1ペプチドワクチンに樹状細胞を接触させることでがん情報を記憶させる治療も行うようになった。直にWT1ペプチドワクチンに作用を持たせたWT1樹状細胞がんワクチンは、現在、私が大きな期待を寄せている免疫細胞療法の1つである。
免疫細胞療法の進行性胃がんへの奏功例
当クリニックで免疫細胞療法を受ける患者さんの大部分が、ステージⅣか再発・転移のがんを抱えていた方々である。今回、ご紹介する3人の方々も、全員が進行性の胃がんを抱えていた。
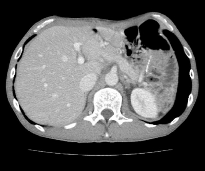
1つ目の症例の患者・Aさん(50歳代・男性)は、2014年4月に排便が困難になり、神奈川県内の基幹病院を受診した。検査の結果、進行性の胃がん(Ⅳ期)と腹膜播種が見つかった。加えて、S状結腸が狭窄していた。
胃の腫瘍は大きく、腹膜播種もあることから、手術を行わないで抗がん剤治療をスタートさせた(写真1)。しかし、その副作用が強く、当クリニックを受診。WT1–2+MUC1樹状細胞がんワクチンを開始した。

写真1 50歳代、男性
当クリニックにおいて樹状細胞がんワクチンを受ける流れは、まず診察してHLA(ヒト白血球抗原)の検査を行うことからスタートする。この検査結果とがん種などを照合し、がんペプチドワクチンの種類を決定する。基本的にワクチン接種は、2週間に1回ずつ計5回(3カ月間)を1コースとしている。
Aさんは、2回目のワクチン接種が済んだとき、他の医療機関で人工肛門を造設した。それ以降、本人の希望で抗がん剤治療を中断した。
その後、当クリニックで1コース(5回)の樹状細胞がんワクチンをやり終えた。そして、CT検査を受けたところ、画像上、がんが消失していた。現在は普通に生活している。
2つ目の症例の患者・Bさん(50歳代・男性)は、2012年10月に、貧血で神奈川県内の病院を受診。検査の結果、進行性の胃がん(Ⅳ期)で、肝臓に多発転移していることがわかった(写真2)。貧血が起こるまで、自覚症状はまったくなかったそうである。

写真2
Bさんは、TS–1+シスプラチンによる術前化学療法を6クール受けた。その途中、当クリニックを受診し、WT1–2+MUC1樹状細胞がんワクチンと活性化リンパ球療法を行った。その後、肝臓の画像を撮ったところ、肝転移は小さくなっていた。
胃の全摘手術後、抗がん剤と当クリニックの治療をしばらく続け、胃を全摘し、結腸部分も切除。再度、検査を受けたところ、肝臓の転移は消失していた(写真3)。

写真3
それから、BさんはTS–1だけを服用し、様子を見ていた。そして再び、当クリニックで先述の治療を再発予防の意味で行った。
現在、Bさんは再発もなく、普通に生活を送っている。
3つ目の症例の患者・Cさん(70歳代・男性)は、2012年1月より貧血が進行し、同年4月に地元の病院でPET検査を受けたところ、胃がん(Ⅳ期)と腹膜播種の診断を受けた。すでに、摘出手術ができない状態であることからTS–1を用いた抗がん剤治療をスタート。しかし、副作用が強く、その使用を中断させ、当クリニックを受診した。
当クリニックでは、Cさんに対し、WT1–2樹状細胞がんワクチンを行った。この治療を終了した後、画像を撮ったところ、胃がんと腹膜播種は消失していた(写真4・5)。Cさんは、現在、元気で暮らしている。

写真4
写真5
今後も、当クリニックでは、胃がんに限らず、進行性・難治性のがんを抱える患者さんの5年生存率50%(現在=38%)を目指し、「やはり最先端科学によるがん治療を受けたい!」を基軸として、治療効果をプラスする「最新のがん治療」を行っていく。
(2015年1月30日発行 ライフライン21がんの先進医療vol.16より)
Life-line21 Topic
バックナンバー
『ライフライン21 がんの先進医療』は全国書店の書籍売り場、または雑誌売り場で販売されています。以下にバックナンバーのご案内をさせていただいております。
掲載記事紹介
「ライフライン21 がんの先進医療」で連載されている掲載記事の一部をバックナンバーからご紹介します。
定期購読は受け付けておりません。
「ライフライン21 がんの先進医療」は、VOL.57をもちまして終刊となりました。
全国がん患者の会一覧
本欄には、掲載を希望された患者さんの会のみを登載しています。
[創刊3周年記念号(vol.13)]掲載
がん診療連携拠点病院指定一覧表
(出所:厚生労働省ホームページより転載)
緩和ケア病棟入院料届出受理施設一覧

資料提供:日本ホスピス緩和ケア協会 http://www.hpcj.org/list/relist.html
先進医療を実施している医療機関の一覧表
(出所:厚生労働省ホームページより「がん医療」関連に限定して転載)
詳しくはこちら
詳しくはこちら
詳しくはこちら
TOP
会社案内
お問い合わせ
ギャラリー
書籍案内
Lifeline21 Topics